
Universidade Positivo seleciona pacientes para tratamento gratuito
com Invisalign

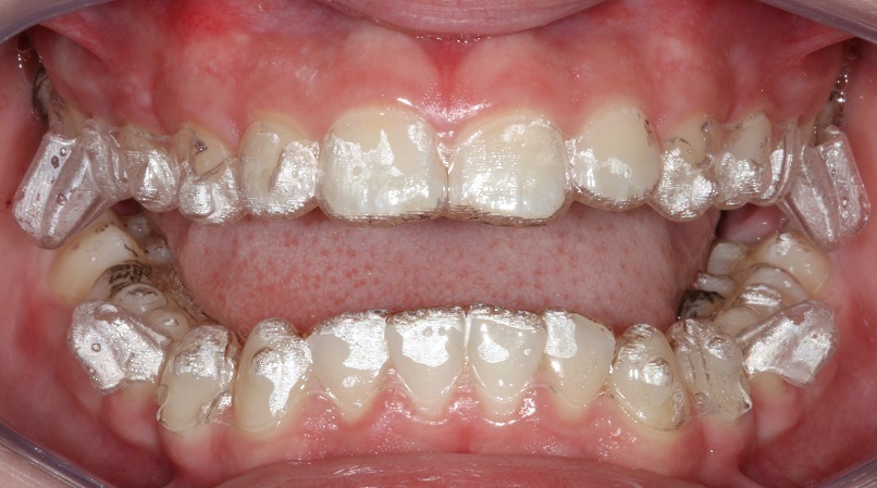
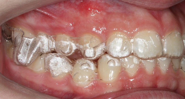
Pesquisadores da Universidade Positivo (UP) procuram pacientes voluntários com retrognatismo mandibular - caracterizado por um queixo projetado para trás - para receberem tratamento gratuito com alinhadores Invisalign. No Brasil, apenas cinco universidades foram selecionadas para participar do projeto, que está sendo realizado em parceria com a Align, empresa responsável pela fabricação dos alinhadores.

O atendimento será conduzido por dentistas estudantes de Mestrado, Doutorado e Especialização em Ortodontia da UP, todos supervisionados por professores especializados na área. Os pesquisadores estão em busca de voluntários que se encaixem nos seguintes critérios: idade entre 10 e 14 anos e características específicas, como mandíbula (queixo) para trás e desalinhamento significativo entre os dentes superiores (que se projetam para frente) e os dentes inferiores.
De acordo com o orientador do estudo, professor Alexandre Moro, o objetivo do tratamento com os alinhadores transparentes é reposicionar a mandíbula, trazendo-a para frente. “A pesquisa prevê a melhoria do perfil facial do paciente, corrigindo características como o formato do rosto, a má oclusão (encaixe dos dentes) e, consequentemente, problemas de mordida incorreta”, esclarece. O professor explica que pessoas com essas características geralmente enfrentam uma série de problemas. “A mastigação e a respiração ficam comprometidas, já que frequentemente o indivíduo adquire o hábito de ficar com a boca aberta. Além disso, a articulação entre a mandíbula e o crânio fica desgastada, ocasionando dores faciais e de cabeça. A longo prazo, o paciente também pode desenvolver desgaste nos dentes e perda óssea”, detalha.
O tratamento oferecido, que normalmente tem um custo elevado, é gratuito para os pacientes participantes. Eles apenas precisam cobrir os exames tomográficos realizados no início e no fim do tratamento. Os atendimentos serão realizados na Clínica de Odontologia da UP, localizada no campus Ecoville, nas tardes de sexta-feira, a partir de 20 de outubro. Para se candidatar, os interessados devem passar por uma triagem, e os casos considerados qualificados recebem o tratamento. As inscrições para participar da pesquisa devem ser feitas por meio do WhatsApp (41) 99922-9964 ou (41) 99866-9670, até 19 de outubro.

Leave a Comment